ΑΙΦΝΙΔΙΟΣ ΘΑΝΑΤΟΣ ΣΤΟΥΣ ΝΕΟΥΣ ΚΑΙ ΣΤΟΥΣ ΗΛΙΚΙΩΜΕΝΟΥΣ ΜΕΡΟΣ Γ΄..

ΑΙΦΝΙΔΙΟΣ ΘΑΝΑΤΟΣ ΣΤΟΥΣ ΝΕΟΥΣ ΚΑΙ ΣΤΟΥΣ ΗΛΙΚΙΩΜΕΝΟΥΣ ΜΕΡΟΣ Γ΄..
ΝΟΣΟΣ ΤΗΣ ΝΑΞΟΥ, Η ΕΛΛΗΝΙΚΗ ΣΥΝΕΙΣΦΟΡΑ!
Αρρυθμιογόνος Δυσπλασία Δεξιάς Κοιλίας (συχνότητα 1:5000) Μυοκαρδιοπάθεια κατά την οποία ο μυοκαρδιακός ιστός της δεξιάς κοιλίας αντικαθίσταται σταδιακά από ινολιπώδη ιστό. Σε προχωρημένο στάδιο μπορεί να προσβληθεί και η αριστερά κοιλία. Έχει συνδεθεί με αιφνίδιο θάνατο νεαρών ατόμων και αθλητών. Διαπιστώνεται κληρονομικότητα σε >50% περιπτώσεων της νόσου.
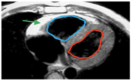
Νόσος της Νάξου: Παραλλαγή της αρρυθμιογόνου μυοκαρδιοπάθειας της δεξιάς κοιλίας, που για πρώτη φορά περιγράφηκε το 1986 από τον Καρδιολογο N. Πρωτονοτάριο οταν επέστρεψε στην ιδιαίτερη πατρίδα του, τη Νάξο, για να υπηρετήσει τη θητεία του ως αγροτικός γιατρός στο Φιλώτι.. Οικογενές σύνδρομο που συνδυάζει παλαμοπελματιαία κεράτωση και καρδιακές διαταραχές. Ο τρόπος κληρονομικής μεταβίβασης είναι αυτός του αυτοσωματικού υπολειπόμενου χαρακτήρα (παρόμοιος της μεσογειακής αναιμίας). Χαρακτηρίζεται από κακοήθη πορεία κυρίως σε νεαρές ηλικίες, όπου μπορεί να εμφανισθεί με αιφνίδιο θάνατο, εμμένουσα Κοιλιακή

![]()
Ταχυκαρδία ή καρδιακή ανεπάρκεια Οι ασθενείς υποφέρουν από αίσθημα παλμών στο στήθος, κρίσεις ζάλης, συγκοπτικό επεισόδιο. Το Ηλεκτροκαρδιογράφημα είναι χαρακτηριστικό (κύματα ε, ανεστραμμένα Τ v1-v3, ευρύ QRS). Στο Υπερηχοκαρδιογράφημα θα βρεθούν στη δεξιά κοιλία διάχυτη διάταση ή/και τοπικές υποκινησίες ή/και σακοειδείς διατάσεις. Η διάγνωση τίθεται με Μαγνητική Τομογραφία Καρδιάς
Θεραπεία: Φάρμακα (σοταλόλη, αμιωδαρόνη, ή συνδυασμός αμιωδαρόνης και β-αναστολέων)
Εμφύτευση καρδιακού απινιδωτή
Η αθλητική δραστηριότητα θεωρείται ότι επιταχύνει τη νόσο και είναι συνδεδεμένη με αυξημένο κίνδυνο για αιφνίδιο θάνατο
ΣΤΟ ΕΠΟΜΕΝΟ.. ΟΙ ΥΓΙΕΙΣ ΚΑΡΔΙΕΣ ΚΑΙ …ΤΑ ΄΄ ΑΝΕΞΗΓΗΤΑ ΑΙΤΙΑ΄΄
