Σας Παρακαλώ!!! Μην παραμελείτε τον τακτικό καρδιολογικό σας έλεγχο! Υπάρχει …και αυτός ο λόγος!!!
Καρδιακοί Όγκοι (καρδιακά νεοπλάσματα)

Καρδιακοί όγκοι (καρδιακά νεοπλάσματα)
Οι καρδιακοί όγκοι διακρίνονται σε πρωτοπαθείς (καλοήθεις ή κακοήθεις) ή μεταστατικούς (αυτοί είναι πάντα κακοήθεις και είναι πολύ πιο συχνοί από τους πρωτοπαθείς όγκους). Τα σημεία και τα συμπτώματα είναι μη ειδικά και ποικίλλουν ανάλογα με την εντόπιση, το μέγεθος και τον ιστολογικό τύπο του καρδιακού νεοπλάσματος. Η απεικονιστική μέθοδος που συνήθως αποκαλύπτει πρώτη την παρουσία μίας καρδιακής μάζας είναι η ηχοκαρδιογραφία, που συνήθως εκτελείται για άλλη ένδειξη.
Πρωτοπαθείς όγκοι της καρδιάς
Οι πρωτοπαθείς καρδιακοί όγκοι είναι σπάνιοι και σαφώς πολύ σπανιότεροι από τους μεταστατικούς. Οι περισσότεροι πρωτοπαθείς καρδιακοί όγκοι είναι καλοήθεις (75-80%). Ο πιο συνηθισμένος τύπος πρωτοπαθούς καλοήθους καρδιακού όγκου είναι το μύξωμα, ενώ ακολουθεί το λίπωμα και το ινοελάστωμα.
Συμπτώματα και κλινικά ευρήματα καρδιακής νεοπλασματικής νόσου
Τα συμπτώματα και τα κλινικά σημεία των καρδιακών όγκων σχετίζονται με την απόφραξη της ροής του αίματος, τα εμβολικά φαινόμενα,
την προσβολή του περικαρδίου, την καρδιακή ανεπάρκεια, τις αρρυθμίες και την απελευθέρωση ουσιών που προκαλούν συστηματικά συμπτώματα. Δεδομένου ότι τα εμβολικά και αποφρακτικά φαινόμενα είναι συνήθη, τα συμπτώματα των καρδιακών όγκων γενικά σχετίζονται περισσότερο με τη θέση τους στην καρδιά και το μέγεθός τους και λιγότερο με τον τύπο του όγκου.
Τα μυξώματα, καθώς και άλλοι πρωτοπαθείς καρδιακοί όγκοι, μπορεί να παρουσιάσουν μία ή περισσότερες από μία κλασική τριάδα εκδηλώσεων. Αυτή η κλασική τριάδα περιλαμβάνει τις εκδηλώσεις βαλβιδικής απόφραξης, εμβολικά φαινόμενα και συστηματικά συμπτώματα..
Οι εκδηλώσεις καρδιακής ανεπάρκειας είναι συχνές στην περίπτωση μεγάλων ενδοκοιλοτικών όγκων που προκαλούν απόφραξη ή παρακώλυση στη ροή του αίματος. Ανάλογα με την εμπλεκόμενη κοιλότητα της καρδιάς, οι εκδηλώσεις που προκύπτουν μπορεί να οφείλονται σε:
• συμφορητική καρδιακή ανεπάρκεια η οποία προκαλεί δύσπνοια, ή περιφερικό οίδημα
• καρδιακή ανεπάρκεια χαμηλής καρδιακής παροχής η οποία προκαλεί κόπωση ή υπόταση.
Οι ενδοκαρδιακοί (ενδοκοιλοτικοί) όγκοι, εάν είναι αρκετά μεγάλοι, προκαλούν κλινικές εκδηλώσεις λόγω της παρεμπόδισης της ροής του αίματος. Τα μυξώματα του αριστερού κόλπου μπορεί να προβάλλουν μέσω της μιτροειδούς βαλβίδας, προκαλώντας συμπτώματα μιτροειδικής στένωσης (δύσπνοια) ή συγκοπή με την αλλαγή της θέσης του ασθενή.
Οι όγκοι των δεξιών καρδιακών κοιλοτήτων μπορούν να εκδηλωθούν με σημεία και συμπτώματα δεξιάς καρδιακής ανεπάρκειας. Οι κακοήθεις πρωτοπαθείς καρδιακοί όγκοι μπορούν επίσης να προκαλέσουν συμφορητική καρδιακή ανεπάρκεια όταν υπάρχει εκτεταμένη προσβολή του μυοκαρδίου.
Τα συστηματικά συμπτώματα (πυρετός, ρίγη, κόπωση, αίσθημα κακουχίας, απώλεια βάρους, φαινόμενο Raynaud), καθώς και ορισμένα εργαστηριακά ευρήματα (αυξημένη ταχύτητα καθίζησης ερυθρών αιμοσφαιρίων, αναιμία, πολυκυτταραιμία, λευκοκυττάρωση, θρομβοκυττάρωση, θρομβοκυτοπενία) οφείλονται σε ουσίες που εκκρίνονται από τον όγκο ή που απελευθερώνονται λόγω νέκρωσης μέρους του όγκου.
Τα συστηματικά συμπτώματα, σημεία και εργαστηριακά ευρήματα μπορεί να μοιάζουν με εκείνα της αγγειίτιδας ή της αυτοάνοσης νόσου του συνδετικού ιστού.
Η εμβολή σε πολλές περιπτώσεις μπορεί να είναι η πρώτη εκδήλωση ενός καρδιακού νεοπλάσματος. Μπορεί να εκδηλωθεί ως πνευμονική εμβολή ή πιο συχνά ως περιφερική εμβολή (π.χ. εγκεφαλικό επεισόδιο ή οξεία ισχαιμία άκρου ή δακτύλου), ανάλογα με τη θέση του όγκου σε μία δεξιά ή αριστερή κοιλότητα της καρδιάς, αντίστοιχα. Τα έμβολα αποτελούνται είτε από κύτταρα του όγκου είτε από θρόμβους που σχηματίζονται στην επιφάνεια του όγκου.
Κολπικές ή κοιλιακές αρρυθμίες ή κολποκοιλιακός αποκλεισμός μπορεί να εμφανιστούν ως αποτέλεσμα της διήθησης του μυοκαρδίου ή των ερεθισματαγωγών οδών της καρδιάς από τον όγκο. Αυτό ισχύει ιδιαίτερα για τα ινώματα (αυτοί είναι ενδομυοκαρδιακοί όγκοι, που βρίσκονται στην αριστερή κοιλία, κυρίως στο μεσοκοιλιακό διάφραγμα). Σε ορισμένες περιπτώσεις, ο αιφνίδιος καρδιακός θάνατος είναι η πρώτη εκδήλωση ενός καρδιακού όγκου.
Τα ευρήματα της κλινικής εξέτασης σε ασθενείς με καρδιακούς όγκους είναι μη ειδικά . Ωστόσο, η εμφάνιση καρδιακών συμπτωμάτων και σημείων σε έναν ασθενή που δεν είχε προηγούμενη καρδιακή νόσο, σε συνδυασμό με γενικά (συστηματικά) συμπτώματα και εμβολικά συμβάντα, θα πρέπει να οδηγούν σε λεπτομερή καρδιολογικό έλεγχο με περαιτέρω διαγνωστικές εξετάσεις.
Η διάγνωση των καρδιακών όγκων και οι απεικονιστικές εξετάσεις
Κάθε φορά που παρατηρείται μία καρδιακή μάζα στην ηχοκαρδιογραφία, η διαφορική διάγνωση περιλαμβάνει έναν θρόμβο, μια εκβλάστηση ή έναν όγκο, με τα δύο πρώτα ενδεχόμενα να είναι πιο συχνά σε σύγκριση με έναν όγκο. Ο γιατρός για να οδηγηθεί σε ένα συμπέρασμα θα πρέπει να εστιάσει στα εξής:
• το ιστορικό, τις συγκεκριμένες κλινικές περιστάσεις και την κλινική εικόνα
• την εντόπιση της μάζας
• τα μορφολογικά χαρακτηριστικά της μάζας στο υπερηχογράφημα
• τα ευρήματα πρόσθετων απεικονιστικών εξετάσεων (όταν είναι απαραίτητο), όπως υπολογιστική τομογραφία (CT) ή μαγνητική τομογραφία (MRI).
• σε περίπτωση όγκου, η οριστική διάγνωση γίνεται με βιοψία (ιστολογική εξέταση), αν και τα ευρήματα των απεικονιστικών εξετάσεων σε πολλές περιπτώσεις υποδηλώνουν τη σωστή διάγνωση.
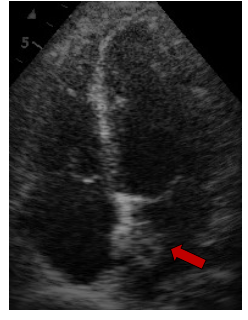
Γενικά, το διαθωρακικό υπερηχογράφημα (ακολουθείται σε μερικές περιπτώσεις από το διοισοφάγειο) είναι η πρώτη διαγνωστική εξέταση. Οι καρδιακοί όγκοι μπορεί να είναι ενδοκοιλοτικοί ή ενδομυοκαρδιακοί (ενδοτοιχωματικοί). Η ηχοκαρδιογραφία απεικονίζει τους ενδοκοιλοτικούς όγκους ως μία πυκνή υπερηχογενή μάζα ακίνητη με ευρεία βάση ή κινητή με μίσχο, που είναι προσαρτημένη στο ενδοκάρδιο. Αντίθετα, οι ενδοτοιχωματικοί όγκοι εμφανίζονται ως μία τοπική πάχυνση του μυοκαρδιακού τοιχώματος μίας κοιλίας. Οι καρδιακοί όγκοι μπορεί επίσης να προβάλλουν το περικάρδιο, με ή χωρίς συνύπαρξη περικαρδιακής συλλογής.
Η διαφορική διάγνωση ενός ενδοκοιλοτικού καρδιακού όγκου είναι κυρίως από θρόμβο. Η ενδοφλέβια ένεση υπερηχογραφικού παράγοντα αντίθεσης μπορεί να είναι χρήσιμη στη διαφορική διάγνωση, διότι εντείνει τα υπερηχογραφικά σήματα από όγκους, με αποτέλεσμα αυτοί να σκιαγραφούνται πιο έντονα, ενώ αυτό δε συμβαίνει στην περίπτωση των θρόμβων.
Εάν τα ηχοκαρδιογραφικά ευρήματα δεν μπορούν να υποδηλώσουν τη διάγνωση, χρησιμοποιούνται περαιτέρω εξετάσεις απεικόνισης όπως η υπολογιστική τομογραφία (CT) ή η απεικόνιση μαγνητικού συντονισμού (μαγνητική τομογραφία). Η μαγνητική τομογραφία (MRI) παρέχει την καλύτερη διακριτική ικανότητα στο χώρο (ευκρίνεια) και επιτρέπει τον ακριβή εντοπισμό του όγκου. Μπορεί επίσης να διακρίνει το λίπος από τον θρόμβο ή τον όγκο. Παρέχει πληροφορίες ιδιαίτερα πολύτιμες για ενδοτοιχωματικούς και κακοήθεις όγκους. Για τη διάκριση μεταξύ καλοήθους και κακοήθους νεοπλάσματος μια χρήσιμη εξέταση είναι η τομογραφία εκπομπής ποζιτρονίου 18F-φθοροδεοξυγλυκόζης / υπολογιστική τομογραφία (FDG-ΡΕΤ / CT).
Εάν αποφασιστεί χειρουργική επέμβαση (χειρουργική εκτομή του όγκου υπό καρδιοπνευμονική παράκαμψη), σε ασθενή που έχει παράγοντες κινδύνου για στεφανιαία νόσο, τότε πρέπει να γίνει στεφανιαιογραφία (εκλεκτική με καθετηριασμό καρδιάς ή αναίμακτη με αξονική τομογραφία). Αυτό γίνεται για να διαγνωσθούν ενδεχόμενες σημαντικές στενώσεις των στεφανιαίων αρτηριών, ώστε να αντιμετωπισθούν με εφαρμογή αορτοστεφανιαίας παράκαμψης (by-pass) κατά τη διάρκεια της χειρουργικής επέμβασης για τον όγκο. Σημειώστε ότι οι πρωτοπαθείς καρδιακοί όγκοι θα πρέπει να αποκόπτονται πλήρως (ριζικά) όταν είναι δυνατόν.
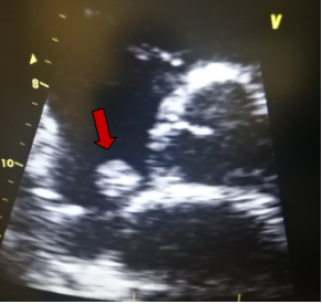
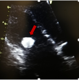
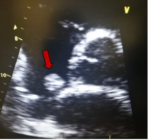
Καρδιακό μύξωμα
Τα μυξώματα είναι τα πιο κοινά καλοήθη νεοπλάσματα της καρδιάς σε ενήλικες. Το μύξωμα είναι μια ενδοκοιλοτική μάζα, συνήθως διαμέτρου 4 – 8 cm. Στις περισσότερες περιπτώσεις βρίσκεται στον αριστερό κόλπο (75%), και συνδέεται με το μεσοκολπικό διάφραγμα, πάνω από τον ωοειδή βόθρο (=το μεσαίο λεπτότερο τμήμα του μεσοκολπικού διαφράγματος). Πιο σπάνια ένα μύξωμα βρίσκεται στο δεξιό κόλπο και ακόμη πιο σπάνια στις κοιλίες. Τα περισσότερα μυξώματα είναι σποραδικά (> 90%) και σπάνια υποτροπιάζουν μετά από πλήρη εκτομή. Τα πολλαπλά μυξώματα (συγχρόνως, διαδοχικά ή υποτροπιάζοντα) αποτελούν ένα χαρακτηριστικό των συνδρόμων μυξώματος (που αντιπροσωπεύουν το 7% των περιπτώσεων καρδιακού μυξώματος). Αυτές οι περιπτώσεις είναι οικογενείς, ως εκδήλωση του σπάνιου συνδρόμου Carney, το οποίο είναι ένας συνδυασμός καρδιακών και δερματικών μυξωμάτων, ενδοκρινικών διαταραχών (αδενωμάτων της υπόφυσης, διαταραχών του φλοιού των επινεφριδίων ή όγκων των όρχεων) και δερματικής εφηλίδωσης (Η εφηλίδωση είναι η παρουσία πολλαπλών εφηλίδων, δηλαδή μικρών χρωστικών κηλίδων στο δέρμα που είναι σαφώς αφοριζόμενες, λόγω μιας καλοήθους υπερπλασίας των μελανοκυττάρων που είναι γραμμική στην εξάπλωσή της).
Όταν διαπιστώνεται ή τίθεται υποψία για σύνδρομο οικογενειακού μυξώματος, είναι επιβεβλημένη η εξέταση των συγγενών πρώτου βαθμού με υπερηχογράφημα καρδιάς.
Τα μεγάλα μυξώματα είναι συχνά ευκίνητα. Μπορούν να μετακινούνται πάνω-κάτω διαμέσου του δακτυλίου της μιτροειδούς βαλβίδας κατά τη διάρκεια ενός καρδιακού κύκλου.
Ιστολογικά, τα μυξώματα είναι νεοπλάσματα πολυδύναμων μεσεγχυματικών κυττάρων στον υποενδοκαρδιακό ιστό. Αυτά τα κύτταρα είναι πολυγωνικά, κάποτε πολυπύρηνα και περιβάλλονται από ένα βλεννώδες στρώμα (πλούσιο σε βλεννοπολυσακχαρίτες).
Ένα καρδιακό μύξωμα μπορεί να προκαλέσει συστηματικά συμπτώματα (πυρετό και απώλεια βάρους) εξαιτίας της παραγωγής ιντερλευκίνης-6, εμβολικά φαινόμενα που μπορούν να μιμηθούν συστηματική αγγειίτιδα ή λοιμώδη ενδοκαρδίτιδα και συμπτώματα λόγω βαλβιδικής απόφραξης (συχνά μιμούνται τη στένωση μιτροειδούς). Κύρια συμπτώματα των μυξωμάτων αριστερής εντόπισης είναι η δύσπνοια στην άσκηση, η παροξυσμική νυκτερινή δύσπνοια, ο πυρετός και η συγκοπή. Μπορεί επίσης να συμβεί αιφνίδιος θάνατος. Το πιο συνηθισμένο αντικειμενικό εύρημα σε ένα μύξωμα του αριστερού κόλπου είναι ένα μιτροειδικό διαστολικό κύλισμα (παρόμοιο με της στένωσης μιτροειδούς, αλλά χωρίς κλαγγή διανοίξεως). Επίσης μπορεί να ακούγεται ένα συστολικό φύσημα κορυφής λόγω ανεπάρκειας της μιτροειδούς. Περιστασιακά υπάρχει ένας επιπρόσθετος καρδιακός ήχος που ονομάζεται πλατάγισμα του όγκου (tumor plop). Αυτός είναι ένας πρώιμος διαστολικός ήχος. Μπορεί να εμφανισθεί σε κάποιες περιπτώσεις φαινόμενο Raynaud ή πληκτροδακτυλία.
Στην ηχοκαρδιογραφία, το μύξωμα έχει την εμφάνιση μίας ανομοιογενούς κινητής μάζας, συχνά περίπου σφαιρικής, διαμέτρου συνήθως 4-8 cm, με λεία ή με λοβωτή (που φέρει μικρά τόξα στο περίγραμμά της) επιφάνεια. Η μάζα είναι προσαρτημένη στην ενδοκαρδιακή επιφάνεια (συνήθως στο μεσοκολπικό διάφραγμα) με στενή βάση, δηλαδή μίσχο. Σε κάποιες περιπτώσεις μπορεί να συνδέεται στο μεσοκολπικό διάφραγμα με ευρεία βάση. Η ηχογένεια τους δεν είναι ομοιογενής και μπορεί να περιλαμβάνουν υπόηχες περιοχές και σε κάποιες περιπτώσεις ασβεστώσεις. Τα πολυποειδή μυξώματα είναι μεγαλύτερα με λεία επιφάνεια και περιλαμβάνουν υπόηχες και κυστικές περιοχές λόγω εστιών αιμορραγίας και νέκρωσης εντός του όγκου . Τα θηλοειδή μυξώματα τείνουν να είναι μικρότερα και έχουν πολλαπλές λαχνοειδείς προσεκβολές. Αυτός ο υποτύπος σχετίζεται με εμβολικά φαινόμενα. Η θεραπεία ενός καρδιακού μυξώματος είναι η ριζική (πλήρης) χειρουργική αφαίρεση του όγκου.
Άλλοι καλοήθεις καρδιακοί όγκοι: Λίπωμα / θηλοειδές ινοελάστωμα (ενδοκαρδιακό θήλωμα)
Τα λιπώματα προκύπτουν από έναν καλοήθη νεοπλασματικό πολλαπλασιασμό ώριμων λιποκυττάρων και συνήθως περικλείονται από μία κάψουλα σε αντίθεση με την λιποματώδη υπερτροφία (που είναι μια μη-νεοπλασματική κατάσταση που παρουσιάζεται στο μεσοκολπικό διάφραγμα-βλ.παρακάτω). Η πλειοψηφία των καρδιακών λιπωμάτων εμφανίζονται στο υποεπικάρδιο, αλλά περιστασιακά μπορούν να εντοπιστούν στο περικάρδιο, στο υπενδοκάρδιο, στο μυοκάρδιο (ενδομυοκαρδιακά) ή στις καρδιακές βαλβίδες. Το μέγεθός τους κυμαίνεται συνήθως από λίγα έως αρκετά εκατοστά. Στην ηχοκαρδιογραφία, εμφανίζονται σαν μάζες ομοιογενείς, ευρείες, ακίνητες και καλώς περιγεγραμμένες. Συνήθως τα λιπώματα είναι ασυμπτωματικά, αλλά σε κάποιες περιπτώσεις προκαλούν αρρυθμίες, κολποκοιλιακό αποκλεισμό ή βαλβιδική δυσλειτουργία. Ένα υπο-επικαρδιακό λίπωμα μπορεί να συμπιέσει μια στεφανιαία αρτηρία με αποτέλεσμα τον θωρακικό πόνο από μυκαρδιακή ισχαιμία. Μπορεί να χρειασθεί χειρουργική αφαίρεση λόγω προοδευτικής αύξησης των διαστάσεων του λιπώματος, καθώς και των παραπάνω δυνητικών εκδηλώσεων,
Η λιποματώδης υπερτροφία του μεσοκολπικού διαφράγματος είναι μια μεγάλη πάχυνση του διαφράγματος λόγω της συσσώρευσης λιπώδους ιστού. Τα εγγύς και άπω τμήματα του μεσοκολπικού διαφράγματος είναι εντόνως παχυσμένα, γενικά χωρίς να παχύνεται η μεσαία περιοχή, του ωοειδούς βοθρίου. Η λιποματώδης υπερτροφία του μεσοκολπικού διαφράγματος δεν είναι πραγματικός όγκος. Είναι πιο συχνή σε παχύσαρκες ηλικιωμένες γυναίκες. Μπορεί να σχετίζεται με εμφάνιση υπερκοιλιακών αρρυθμιών.
Το θηλοειδές ινοελάστωμα
Το θηλώδες ή θηλοειδές ινοελάστωμα είναι ένας καλοήθης όγκος που εμφανίζεται κυρίως επάνω σε καρδιακές βαλβίδες. Είναι ο πιο συνηθισμένος όγκος των καρδιακών βαλβίδων. Η μέση ηλικία των ασθενών είναι 60 έτη. Η διάμετρος του είναι συχνά <1 εκατοστό, αλλά μπορεί να φτάσει 1-2 εκατοστά, έχει ένα μικρό μίσχο και ένα σχήμα που μοιάζει με θαλάσσια ανεμώνη. Στην ηχοκαρδιογραφία, αυτοί οι καλοήθεις όγκοι έχουν μικρό μέγεθος, με ανεξάρτητη κίνηση και προσάρτηση σε μια ενδοκαρδιακή επιφάνεια (συνήθως μιας βαλβίδας) μέσω ενός κεντρικού μίσχου. Ο όγκος έχει συνήθως στην επιφάνειά του μικρές δακτυλοειδείς προσεκβολές και το περιγράμμά του εμφανίζει μία λεπτή τρομώδη κίνηση λόγω κραδασμών στη διαχωριστική επιφάνεια όγκου-αίματος. Η πιο συνηθισμένη θέση είναι η αορτική βαλβίδα, ακολουθούμενη από τη μιτροειδή βαλβίδα και σπάνια τις δεξιές βαλβίδες ή ακόμα και το τοιχωματικό, μη βαλβιδικό ενδοκάρδιο. Τα ινοελαστώματα μπορούν να προκαλέσουν βαλβιδική ανεπάρκεια και θρομβοεμβολικές επιπλοκές. Οι θρομβοεμβολικές επιπλοκές μπορεί να εκδηλωθούν ως παροδικό ισχαιμικό, ή εγκατεστημένο εγκεφαλικό επεισόδιο, έμφραγμα του μυοκαρδίου, αιφνίδιος θάνατος, συγκοπή, τύφλωση ή πνευμονική εμβολή. Εάν ο όγκος βρίσκεται στην αρτηριακή πλευρά της αορτικής βαλβίδας, μπορεί να προκαλέσει στεφανιαία απόφραξη. Η χειρουργική εκτομή του όγκου είναι θεραπευτική και αποτελεί λογική απόφαση σε συμπτωματικούς ασθενείς ή όταν ο όγκος έχει διαγνωσθεί σε προεγχειρητικό υπερηχογράφημα καρδιάς σε ασθενή που πρόκειται να υποβληθεί σε καρδιοχειρουργική επέμβαση για άλλο λόγο.
Τα καρδιακά σαρκώματα
Τα σαρκώματα είναι τα πιο συνήθη από τα κακοήθη πρωτοπαθή νεοπλάσματα της καρδιάς. Η τυπική ηλικία εμφάνισης είναι μεταξύ 40 και 50 ετών. Στην ηχοκαρδιογραφία, εμφανίζονται ως μία μάζα με ευρεία βάση και ανομοιογενή ηχογένεια, συνήθως στο δεξιό κόλπο. Οι υπόηχες περιοχές εντός του όγκου αντιστοιχούν σε εστίες νέκρωσης του όγκου.
Εκτός από το δεξιό κόλπο που είναι η συχνότερη εντόπιση, μπορούν επίσης να εμφανιστούν σε οποιαδήποτε καρδιακή κοιλότητα και συχνά προσβάλλουν το περικάρδιο, με αποτέλεσμα την περικαρδιακή συλλογή και το θωρακικό άλγος από ερεθισμό του περικαρδίου. Όταν βρίσκονται σε μία δεξιά καρδιακή κοιλότητα, μπορούν να προκαλέσουν διαταραχή στη λειτουργία της τριγλώχινας βαλβίδας, να προκαλέσουν κλινικές εκδηλώσεις δεξιάς καρδιακής ανεπάρκειας και / ή να εμφανίσουν μεταστάσεις στους πνεύμονες. Η διαφορική διάγνωση είναι με το μύξωμα. Σε αντίθεση με τα μυξώματα, τα σαρκώματα δεν έχουν μίσχο. Τα σαρκώματα τείνουν να έχουν ταχεία ανάπτυξη, παρακωλύοντας τη ροή του αίματος. Η αντιμετώπιση με χειρουργική εκτομή του όγκου είναι εφικτή σε μερικές περιπτώσεις. Οι κακοήθεις πρωτοπαθείς καρδιακοί όγκοι είναι εξαιρετικά σπάνιοι. Σε σχεδόν όλες τις περιπτώσεις πρόκειται για σαρκώματα, με το αγγειοσάρκωμα να είναι το πιο σύνηθες μεταξύ αυτών. Τα σαρκώματα μπορούν να εμφανιστούν σε οποιαδήποτε καρδιακή κοιλότητα, αλλά βρίσκονται συχνότερα στον δεξιό ή τον αριστερό κόλπο. Οι κακοήθεις καρδιακοί όγκοι έχουν κακή πρόγνωση.
Πρωτοπαθείς καρδιακοί όγκοι στην παιδική ηλικία
Είναι εξαιρετικά σπάνιοι και περιλαμβάνουν κυρίως το ραβδομύωμα και το ίνωμα. Οι καρδιακοί όγκοι στην παιδική ηλικία σχετίζονται συχνά με γενετικά σύνδρομα.
Τα πιο συνήθη μεταξύ των καρδιακών νεοπλασμάτων στην παιδική ηλικία είναι τα ραβδομυώματα. Τα ραβδομυώματα της καρδιάς είναι καλοήθεις όγκοι που προέρχονται από καρδιακά μυοκύτταρα. Ορισμένες περιπτώσεις είναι σποραδικές και μεμονωμένες, αλλά σε 50% των περιπτώσεων, σχετίζονται με την οζώδης σκλήρυνση (ΟΣ). Η ΟΣ είναι μια πολυσυστηματική γενετική διαταραχή με επιπολασμό περίπου 1:6000 γεννήσεις, με κύριο χαρακτηριστικό τους πολλαπλούς καλοήθεις όγκους (όζους) στον εγκέφαλο και τα περισσότερα όργανα του σώματος. Υπεύθυνα είναι τα γονίδια TSC1 και TSC2. Η ΟΣ είναι γνωστή και ως νόσος του Bourneville και διεθνώς ως Tuberous Sclerosis και χαρακτηρίζεται από νευρολογικές (επιληψία, διανοητική υστέρηση) και δερματικές εκδηλώσεις (λευκές δερματικές κηλίδες, εξάνθημα προσώπου) και όγκους σε διάφορα όργανα.
Μεταστατικοί καρδιακοί όγκοι
Οι μεταστατικοί καρδιακοί όγκοι είναι πολύ συχνότεροι (περίπου 30-40 φορές συχνότεροι) από τους πρωτοπαθείς. Τα νεοπλάσματα που μπορούν να προσβάλλουν την καρδιά είναι κυρίως μελανώματα, λεμφώματα, ο καρκίνος του πνεύμονα, του μαστού και του νεφρού.
Οι μεταστάσεις στην καρδιά μπορούν να εμφανιστούν με τους ακόλουθους τρεις μηχανισμούς:
• Άμεση επέκταση ενός νεοπλάσματος μέσω παρακείμενων ιστών.
• Διασπορά και μεταφορά καρκινικών κυττάρων στο αίμα ή στο λεμφικό σύστημα.
• Επέκταση μέσω της άνω ή κάτω κοίλης φλέβας στο δεξιό κόλπο.
Η περιοχή της καρδιάς που προσβάλλεται συχνότερα από μεταστατική κακοήθη νόσο είναι το περικάρδιο. Η μετάσταση στο περικάρδιο οδηγεί σε μια περικαρδιακή συλλογή υγρού, η οποία είναι συχνά μεγάλη και αιμορραγική και μπορεί να περιέχει μάζες που περιλαμβάνουν καρκινικά κύτταρα ή θρόμβους αίματος και ινώδες. Έτσι, η ηχοκαρδιογραφία εκτός από την περικαρδιακή συλλογή που εμφανίζεται σαν μια υπόηχη (μαύρη) περιοχή που περιβάλλει την καρδιά μπορεί να δείξει και περιοχές πάχυνσης του σπλαγχνικού περικαρδίου. Γενικά, οι περικαρδιακές μεταστάσεις είναι σχετικά σύνηθες φαινόμενο και οδηγούν σε επίμονες περικαρδιακές εξιδρωματικές συλλογές, οι οποίες είναι συχνά μεγάλες και ενέχουν επίσης τον κίνδυνο επιπωματισμού. Η διαφορική διάγνωση σε έναν ασθενή με γνωστό κακόηθες νεόπλασμα και περικαρδιακή συλλογή περιλαμβάνει κακοήθη περικαρδιακή συλλογή (μετάσταση στο περικάρδιο), περικαρδίτιδα που προκαλείται από ακτινοβολία, περικαρδίτιδα που προκαλείται από φάρμακα και ιδιοπαθή περικαρδίτιδα. Σε πολλές περιπτώσεις, μια κυτταρολογική ή ιστολογική διάγνωση μπορεί να γίνει με αναρρόφηση περικαρδιακού υγρού ή με περικαρδιακή βιοψία. Η θεραπεία με περικαρδιακό παράθυρο και / ή έγχυση σκληρυντικών παραγόντων στην περικαρδιακή κοιλότητα μπορεί να μειώσει την ανάγκη για επαναλαμβανόμενη περικαρδιοκέντηση.
Λιγότερο συχνά, οι μεταστατικοί όγκοι μπορεί να προσβάλλουν το μυοκάρδιο ή το ενδοκάρδιο (προκαλώντας εκδηλώσεις καρδιακής ανεπάρκειας ή αρρυθμίες) ή τις κοίλες φλέβες (προκαλώντας εκδηλώσεις λόγω απόφραξης της φλεβικής ροής). Γενικά, διαταραχές που μπορούν να εμφανισθούν σε περιπτώσεις μετάστασης στο μυοκάρδιο περιλαμβάνουν μη ειδικές διαταραχές των κυμάτων ST-T, καρδιακές αρρυθμίες, καρδιακή ανακοπή ή μυοκαρδιακή δυσλειτουργία.
Η ηχοκαρδιογραφία (υπερηχογράφημα καρδιάς) είναι η πιο συχνά χρησιμοποιούμενη μέθοδος απεικόνισης σε υποψία καρδιακής μεταστατικής νόσου, αλλά η μαγνητική τομογραφία και η υπολογιστική τομογραφία είναι επίσης πολύτιμες. Οι μεταστατικοί όγκοι που επηρεάζουν το μυοκάρδιο, εμφανίζονται συνήθως ως διακριτές, έντονα ηχογενείς μάζες. Σπάνια, οι μεταστατικοί όγκοι μπορεί να προσβάλλουν το ενδοκάρδιο και να εμφανιστούν στο υπερηχογράφημα ως ενδοκοιλοτικές μάζες, δηλαδή όγκοι που βρίσκονται εντός ενός κόλπου ή μίας κοιλίας.
Οι καρδιακές μεταστάσεις είναι κλινικά εμφανείς μόνο στο 10% των περιπτώσεων και συνήθως δεν αποτελούν την αιτία του συμπτώματος που δοήγησε τον ασθενή στο γιατρό ή στο νοσοκομείο. Ωστόσο, σε μερικές περιπτώσεις προκαλούν συμπτώματα (δύσπνοια λόγω καρδιακής ανεπάρκειας ή λόγω μεγάλης περικαρδιακής συλλογής, θωρακικός πόνος οφειλόμενος σε περικαρδίτιδα, εκδηλώσεις καρδιακού επιπωματισμού, αρρυθμίες, συγκοπή οφειλόμενη σε κολποκοιλιακό αποκλεισμό κ.λπ.). Συνήθως επιπλέκουν ένα κακόηθες νεόπλασμα που έχει ήδη διαγνωσθεί προηγουμένως (και το οποίο σχεδόν πάντα είναι σε προχωρημένο στάδιο). Η διαφορική διάγνωση σε περίπτωση εμφάνισης μιας καρδιακής διαταραχής σε έναν ασθενή με καρκίνο πρέπει να περιλαμβάνει και την καρδιοτοξικότητα λόγω χημειοθεραπείας ή την εμφάνιση καρδιακών μεταστάσεων.
Η γενική πρόγνωση των ασθενών με καρδιακές μεταστάσεις είναι δυσμενής. Για τους ασθενείς με ενδομυοκαρδιακή μετάσταση, η επιβίωση γενικά περιορίζεται σε λίγους μόνο μήνες. Η επιβίωση είναι συγκριτικά μεγαλύτερη για ασθενείς με ενδοκοιλοτικούς όγκους. Έχουν αναφερθεί και περιπτώσεις κάποιων ασθενών που έχουν επιβιώσει για αρκετά χρόνια, αλλά δυστυχώς αυτό είναι η εξαίρεση και όχι ο κανόνας.
